• Zahnimplantat Köln

    Modernste Zahnimplantate für ein strahlendes Lächeln.

Ihr Spezialist für Zahnimplantat Köln
In der Zahnarztpraxis Bahlmann!

Implantate sind aus Titan gefertigte künstliche Zahnwurzeln, welche in den Kiefer eingesetzt werden. Nach einer Einheilzeit von drei bis sechs Monaten hat sich der Knochen mit dem Zahnimplantat verbunden und das Zahnimplantat kann belastet werden. Das Implantat kann sowohl für eine festsitzende, als auch für eine herausnehmbare Versorgung genutzt werden. Wir greifen auf modernste Technik, wie 3D Röntgen und navigierte Implantologie zurück. 

Implantat Köln

Implantate kommen dann zum Einsatz, wenn ein oder mehrere Zähne fehlen. Somit können mit einem Implantat ein oder mehrere fehlende Zähne ersetzt werden. Ebenfalls werden Implantate zur festen Verankerung von Prothesen genutzt. 

In dem folgenden Video wollen wir Ihnen zeigen, wie der Ablauf bei der Implantation in unserer Praxis ist. 

Modernste Zahnimplantat für ein strahlendes Lächeln.

Wann brauche ich ein Implantat

Ein Implantat kann einen oder mehrere Zähne festsitzend versorgen. Durch die Versorgung mit Implantaten statt mit einer konventionellen Brücke können die Nachbarzähne geschont werden. Darüber hinaus kann es als Befestigungselement mit einer Prothese verbunden sein. Über Druckknöpfe oder Magneten erlangt die Prothese einen festen Halt beim Essen und Sprechen.

Unsere Behandlung bei Zahnimplantaten?

Ein Implantat, welches den echten Zahn im Knochen ersetzt ist das Ziel der Behandlung, die einige Monate in Anspruch nehmen kann. Die Implantatbehandlung ist eine chirurgische Behandlung und beginnt bei uns immer mit einer gründlichen Planung. Sowohl klinisch, wie auch mit Hilfe des Röntgenbildes wird die Situation beurteilt. Je nach Situation ist ein dreidimensionales Röntgenbild zur ausreichenden Planung notwendig. Für Ihr Implantat Köln nehmen wir uns gerne die notwendige Zeit zur Planung.

Welche Behandlungsmethoden gibt es?

Implantate müssen ausreichend geplant werden. Die Situation jedes Patienten ist anders und man muss von Fall zu Fall entscheiden, ob Implantate möglich und sinnvoll sind. Ausschließlich Implantate namhafter Hersteller (Straumann oder Bikon) werden in unserer Praxis verwendet. Ein ausreichendes Platzangebot ist ein großes Entscheidungskriterium, wenn dieses nicht gegeben ist, muss über eine Methode zur Knochengewinnung nachgedacht werden.
Zahnimplantat in Köln als Brückenlösung für mehrere fehlende Zähne
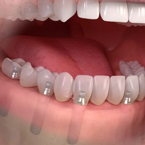
Festsitzender Zahnersatz auf Implantaten in Köln mit 4 bis 6 Implantaten
Gesetzte Implantate Zahnarzt Bahlmann

Implantate made in Cologne seit über 30 Jahren

check Kopie

>500 Implantate jährlich

check Kopie

Kollegialer Austausch zwischen 4 Implantologen 

check Kopie

Hauseigenes Meister-Labor mit Experten für Implantatarbeiten

check Kopie

3D-Röntgen und navigierte Implantologie

3D- Implantologie Köln

Die navigierte Implantologie Köln ist die patientenfreundlichste und sicherste Art der Implantologie. Anhand eines 3D-Röntgenbildes und eines Scans des Kiefers wird das Implantat zuvor am Computer genauestens geplant. Es wird festgelegt, wo ausreichend Knochen vorhanden ist, um das Implantat korrekt zu setzen. Dabei hat sich die Schablonengeführte Implantologie durchgesetzt. Vorteile sind, dass die anschließende Implantation minimalinvasiv ablaufen kann, häufig sind nur kleine Stanzen oder minimale Zahnfleischschnitte notwendig. Die OP-Zeit wird verkürzt unter höchster Sicherheit für das umliegende Gewebe, wie z.B. Nerven. Durch die genaue Planung am Computer kann die spätere prothetische Versorgung geplant werden und unter ästhetisch höchsten Ansprüchen umgesetzt werden. 

Brücke oder Zahnimplantat?

Wenn ein Zahn fehlt, sollte man etwas unternehmen, um den Zahn wieder zu ersetzen. Zum Glück hat man verschiedene Möglichkeiten die Lücke zu schließen. Sowohl das Zahnimplantat, als auch die Brücke sind gute Möglichkeiten, um einen oder mehrere Zähne zu ersetzen. Bevor Sie sich entscheiden, ist es wichtig zu verstehen, wo die Unterschiede liegen. Die Vor und Nachteile von Implantaten und Brücken haben wir für sie auf der folgenden Seite zusammengestellt: Brücke oder Implantat

Versorgung von Einzelzahnlücken

Zahnbrücken

Ablauf Implantation

1. 3D. Röntgenbild

Als erster Schritt wird mittels DVT ein 3D- Röntgenbild erstellt, um zu analysieren, ob genug Knochen vorhanden ist und um die Implantate am Computer zu planen. Zusätzlich wird ein Abdruck im Mund genommen. 

2. Planung am Computer

Am Computer werden die Implantate geplant, so dass diese perfekt im Knochen stehen und einer späteren Versorgung mit Zahnersatz nichts im Wege steht. Die Planung wird gemeinsam mit dem Patienten besprochen. 

3. OP-Tag

Anhand der geplanten Daten wird eine Bohrschablone hergestellt, dadurch wird die OP so minimal-invasiv wie möglich. Durch die ausführliche Planung weiß der Operateur welche Situation er in der OP zu erwarten hat und kann Aufwand und Komplikation gut abschätzen. Siehe dazu auch das Video weiter oben auf dieser Seite. 

Dank künstlicher Zahnwurzel

Feste Zähne Köln

Zahnimplantate können ihr Leben positiv verändern. Implantate sind ein sehr guter Zahnersatz, weil er der Natur am Nächsten kommt. Es wird nicht nur der sichtbare Teil des Zahnes, sondern auch die im Knochen verankerte Wurzel ersetzt. Wir möchten Ihnen hier einige Informationen geben.
Wie es in Ihrem individuellen Fall aussieht erörtern wir gerne in einem persönlichen Gespräch.

Erfahrung

Wir haben eine über 30-jährige Erfahrung auf dem Gebiet der zahnärztlichen Implantologie. Dadurch und durch ständige wissenschaftliche Weiterbildung können wir unseren Patienten die bestmögliche Chance für eine erfolgreiche Zahnimplantation geben.

Erfolg

Zahnimplantate haben eine Erfolgsquote von 95%. Kommt es zum Misserfolg muss das Implantat entfernt werden. Die Wunde kann zuheilen und in den meisten Fällen ist eine erneute Implantation möglich.

Beispiele für implantatgetragenen Zahnersatz

Versorgung von Einzelzahnlücken

Festsitzende Restauration

Weitere Informationen zu All on 6 und All on 4 Restaurationen haben wir für sie auf der folgenden Seite zusammengestellt: All on 4 / All on 6

Herausnehmbare Prothesen mit Retentionselementen

Herausnehmbare Brücken und Mehrzahnersatz

Sofortimplantate köln

Sofortimplantate in Köln – Ihr Lächeln in kürzester Zeit
Sofortimplantate in Köln bieten Ihnen die Möglichkeit, verlorene Zähne schnell und effektiv zu ersetzen – ohne lange Wartezeiten. Dank modernster Technik können Implantat und Zahnersatz oft schon an einem Tag eingesetzt werden. Profitieren Sie von einem natürlichen Aussehen, optimalem Tragekomfort und einer nachhaltigen Lösung für Ihre Zahngesundheit. Besuchen Sie unsere erfahrenen Implantologen in Köln und genießen Sie die Vorteile eines strahlenden Lächelns.

Sinuslift Köln

Ein Sinuslift kommt dann zum Einsatz, wenn im Oberkiefer nicht genügend Knochenhöhe vorhanden ist, um ein Implantat sicher zu verankern. Mit einem Sinuslift wird der Knochen im Oberkieferbereich aufgebaut, sodass ein oder mehrere Implantate sicher gesetzt werden können. Dieser Eingriff wird besonders bei Patienten angewendet, die einen Knochenverlust im Oberkiefer erlitten haben.

In dem folgenden Video wollen wir Ihnen zeigen, wie der Ablauf bei einem Sinuslift in unserer Praxis ist.

Titan oder Keramik?

Zahnimplantate werden hauptsächlich aus Titan oder Keramik hergestellt, da diese Materialien besonders gut für die hohen Anforderungen in der Zahnmedizin geeignet sind. Titan ist das am häufigsten verwendete Material und hat sich durch seine hervorragenden Eigenschaften bewährt. Es ist extrem belastbar, biokompatibel und ermöglicht eine optimale Osseointegration, das heißt, es verwächst stabil mit dem Kieferknochen. Dies sorgt für eine hohe Langlebigkeit und Stabilität des Implantats. Titan ist außerdem resistent gegen Korrosion und eignet sich für nahezu alle Patienten, auch in komplexeren medizinischen Fällen.

Keramikimplantate, meist aus hochfestem Zirkonoxid, sind eine metallfreie Alternative, die vor allem aus ästhetischen und gesundheitlichen Gründen bevorzugt wird. Ihr zahnfarbenes Material verhindert das Risiko sichtbarer dunkler Ränder, wie sie bei Titanimplantaten in seltenen Fällen auftreten können, beispielsweise bei dünnem Zahnfleisch in der Front. Keramik ist zudem hypoallergen und eignet sich besonders gut für Patienten, welche kein Metall in Ihren Körper haben möchten. 

Während Titan durch seine lange klinische Erfolgsbilanz punktet, sind Keramikimplantate in den letzten Jahren durch Fortschritte in der Materialforschung immer beliebter geworden. Die Wahl zwischen Titan und Keramik hängt von den individuellen Bedürfnissen, ästhetischen Ansprüchen, gesundheitlichen Voraussetzungen und finanziellen Möglichkeiten des Patienten ab. Beide Materialien bieten eine solide Basis für einen langfristigen Zahnersatz.

Wir beraten Sie gerne bei der Wahl des richtigen Implantatmaterials. 

Haben Sie noch Fragen?

FAQ

Die Preisgestaltung für Zahnimplantate muss individuell erfolgen, da sie von Patient zu Patient variiert. Dies liegt an der breiten Palette an verfügbaren Behandlungsoptionen und den unterschiedlichen Voraussetzungen jedes Einzelnen. Die Gesamtkosten hängen ab von der notwendigen Diagnostik, dem Umfang des chirurgischen Eingriff, Notwendigkeit von Knochenaufbau,  die verwendeten Materialien und die zahnprothetische Versorgung. Zuzahlungen durch Krankenkasse, Zusatzversicherungen oder Erstattungen müssen ebenfalls berücksichtigt werden. 

Inhalt umschaltenWie in jedem Beruf, der mit den Händen ausgeübt wird und so trifft es auch auf Zahnmediziner oder Chirurgen zu, zählt die Routine. 
Bei uns in der Praxis werden seit über 30 Jahren Implantate gesetzt. Es werden jährlich über 500 Implantate gesetzt. 
Dadurch kann garantiert werden, dass die Behandlung bei Ihnen für unsere Spezialisten Routine ist. 
Ob es kurze oder lange Implantate, ob aus Keramik oder Titan , wir haben die Erfahrung von der Sie profitieren. 
Durch das Hauseigene Meisterlabor kann der Zahnersatz auf höchsten ästhetischen Ansprüchen fertiggestellt werden. 

Implantate sind künstliche Zahnwurzeln, mit denen man Zahnlücken schließen kann oder eine herausnehmbare Prothese oder eine Brücke halten kann.

Das ist abhängig vom Entwicklungsstand der Knochen, in der Regel ist das Knochenwachstum aber mit der Volljährigkeit (18 Jahre) abgeschlossen und der Knochen bereit, ein Implantat aufzunehmen.

Für so eine entscheidende Frage ob man ein Implantat gesetzt bekommt und wo man dies durchführen lässt, ist der entscheidendste Faktor Vertrauen in die handelnde Person. 

Neben dem Vertrauen ist es in der Medizin essenziell, dass die Behandlung routiniert vom gesamten Team durchgeführt wird. Zahnimplantate oder Implantate gehören zu unseren täglichen Arbeiten. Durch 4 verschiedene Implantologen in unsere Praxis, mehr als 30 Jahre Erfahrung und über 400 gesetzten Implantaten im Jahr, einem geschulten Team und unserem zahntechnischen Meisterlabor ist man perfekt aufgehoben für Ihre Implantologische Behandlung. 

Nein, Implantate werden in der Praxis unter örtlicher Betäubung gesetzt.

Während des Eingriffes ist das Implantationsgebiet absolut betäubt und nicht schmerzhaft. Nach dem Eingriff und der Betäubung kann es zu einem Wundschmerz kommen, den man unter Einsatz leichter Schmerzmittel ausschalten kann.

Im Normalfall kann ein Tag nach dem Eingriff wieder der Arbeit nachgegangen werden. Körperliche Belastung sollte aber vermieden werden. Bitte beachten Sie unsere Verhaltensempfehlung.

Der erste Termin ist ein Beratungstermin bei welchem alle notwendigen Modelle, Röntgenbilder und Fotos gemacht werden. Anhand dieser Unterlagen kann ihr individueller Fall geplant werden. Wir erstellen anhand der Planung ein Heil- und Kostenplan. Sind Sie einverstanden können wir einem Termin für die Operation vereinbaren, bei welchem das Implantat oder die Implantate in Köln gesetzt werden. Am Tag nach der Implantation kontrollieren wir das Wundgebiet und 10 danach werden die Nähte entfernt.

Implantate bestehen bis auf Ausnahmen aus Titan. Allergien gegen Titan sind nicht bekannt, Unverträglichkeiten sehr selten.

Wieviel Kosten ein Implantat mit sich bringt kann durch Ihren Zahnarzt und den Heil- und Kostenplan in Erfahrung gebracht werden. Diese Beratung ist selbstverständlich kostenfrei und unverbindlich. Die Kosten hängen von dem Aufwand und der Anzahl der Implantate ab.

Zahnimplantate brauchen 3 bis 6 Monate Einheilungszeit. Unter bestimmten Voraussetzungen kann dies auch schneller erfolgen und das Implantat sofort versorgt werden.

Abhängig von der vorherigen Versorgung kann nach der Implantation fest oder herausnehmbar versorgt werden. Diese Lösung ist allerdings provisorisch. Nach der Einheilungszeit wird definitiv versorgt.

Bei guter häuslicher Pflege kann ein Implantat sehr lange im Mund bleiben. Die ersten Monate sowie regelmäßige Prophylaxe sind dabei sehr entscheidend.

Ein Implantat ersetzt nicht nur die sichtbare Zahnkrone sondern auch die Wurzel, dadurch wird ein fester Zahnersatz oder eine neue Verankerung für herausnehmbaren Zahnersatz möglich. Dabei werden die Nachbarzähne nicht beschliffen und dadurch verletzt. Durch ein Implantat kann ein hohes Maß an Ästhetik erreicht werden.

Im Prinzip kann jeder ein Zahnimplantat bekommen. Es gibt einige seltene Erkrankungen, die einen Verlust des Implantats begünstigen. Ihr Behandler wird dann über diesen seltenen Fall aber aufklären und eine Lösung wird gefunden.

Es gibt ein paar wenige Medikamente, unter anderem welche, die den Knochenstoffwechsel beeinflussen und ein Einheilen negativ beeinflussen. Ihr Zahnarzt wird sich aber nach diesen erkundigen.

Rauchen reduziert die Durchblutung des Kieferknochens und der Schleimhäute. Bei starkem Konsum kann ein Implantat dadurch verloren gehen. Sprechen Sie mit Ihrem Behandler über dieses Risiko.

In der Regel geht es Ihnen nach der Implantation gut und Sport ist kein Problem. Um aber Zug auf die Wunde zu vermeiden sollte mindestens eine Woche kein Sport betrieben werden. Bitte sprechen Sie dies mit einem unseren Implantologen ab.

Ähnlich einer Wand muss auch der Knochen eine gewisse Dicke haben, damit ein Implantat inklusive der späteren Versorgung halten kann. Die Möglichkeiten dazu sind vielfältig, Ihr Zahnarzt klärt Sie gerne darüber auf. Nach einem Knochenaufbau muss das Implantat 3-6 Monate einheilen und kann nicht direkt versorgt werden. Erfahren Sie weiter oben wie ein Knochenaufbau funktioniert. 

Das Setzen eines Implantats ist ein Eingriff, der nicht komplett risikofrei ist. Unter Einbeziehung moderner Röntgendiagnostik und genauer Planung kann man aber das Verletzungsrisiko für Blutgefäße und Nerven stark reduzieren.

Das Implantat kann sich wie ein Zahn entzünden. Von daher ist die Langlebigkeit eines Implantates stark von der Pflege abhängig. Wir setzen die Implantate nur im entzündungsfreien Stadium und empfehlen regelmäßige Zahnreinigungen nach dem Eingriff, sowie davor.

Das Implantat muss analog zu den eigenen Zähnen gepflegt werden. Mit Zahnbürste und Zahnpasta sollte gründlich gereinigt werden. Ein besonderes Augenmerk sollten Sie auf die Zahnzwischenräume legen und mit Zahnseide oder Interdentalbürsten die bakteriellen Beläge entfernen.

Zahnimplantate KÖLN

DIE VORTEILE

VEREINBAREN SIE JETZT EINEN TERMIN

Wir haben unsere Praxis extra lange und früh für Sie geöffnet! Damit Sie den Termin bei uns in Ihren Alltag integriert bekommen. Rufen Sie uns einfach an und vereinbaren Sie einen Termin. Ihr Zahnarztpraxis Bahlmann-Team.
Unsere Öffnungszeiten:
Mo: 07:00-18:30
Di: 07:00-18:30
Mi: 07:00-15:00
Do: 07:00-18:30
Fr: 07:00-17:00

ODER VEREINBAREN SIE GLEICH HIER ONLINE EINEN TERMIN:

Termin buchen